Victoria Mapplebeck
1 - 30 November 2019

GAZELL.iO celebrates Victoria Mapplebeck as our artist-in-residence for the month of November.
The Waiting Room is a Film and VR Journey which tells the story of my breast cancer (as a patient and artist) from diagnosis through treatment to recovery.
In 2017, I was diagnosed with breast cancer. A Grade 3 tumour, full of fast-dividing cells, which my surgeon once likened to ‘terrorists’. The Waiting Room will challenge the language of illness and the cultural myths surrounding this disease. We will all encounter illness, disease, and death, yet we struggle to find the language to deal with it. There are two days in our lives when we will live less than 24 hours, the day we are born and die. In many parts of the world, there is much more focus on the first day than the last.

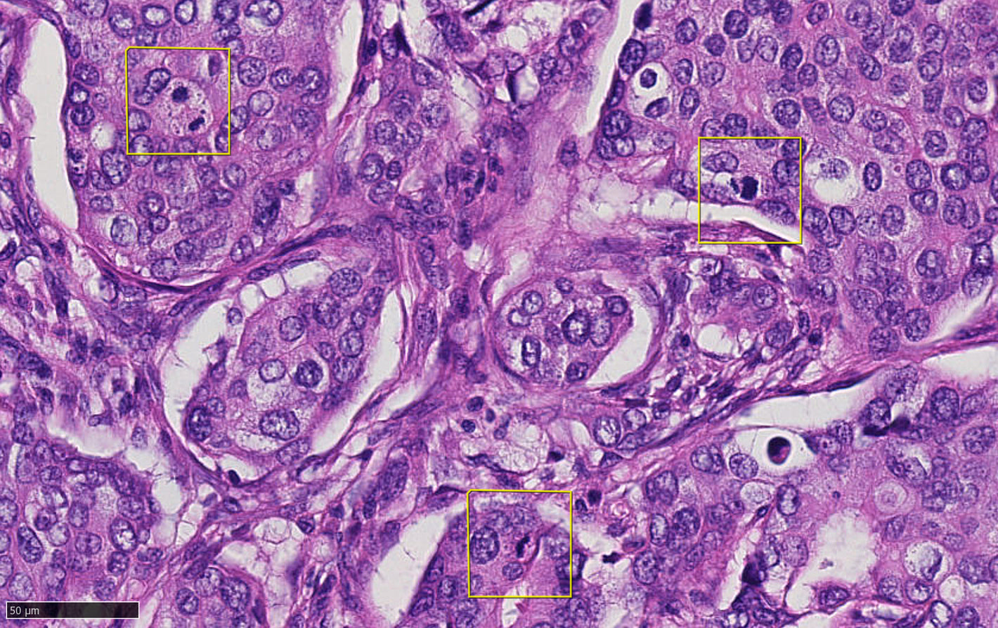
As part of this project, I gained access to my tumour samples. Looking through the microscope at the cancer cells that could one day kill me wasn’t terrifying. Instead, I found the experience strangely cathartic. The Waiting Room explores illness and mortality from a patient’s POV, putting under the microscope what we can and what we can’t control when our bodies fail us.

The Waiting Room VR provides an intimate and visceral portrait of cancer treatment and its transformative impact on the body and family life.



